" La Diastasi dei Muscoli Retti Addominali è caratterizzata dalla separazione dei due muscoli retti dell'addome nella zona centrale. La Diastasi non è solo un problema estetico perché la perdita del tono della parete addominale e l'alterato lavoro dei muscoli retti ha effetti negativi anche sulla funzione respiratoria ed intestinale. "
La diastasi addominale è una conseguenza principalmente della gravidanza. La causa è dovuta allo stiramento del muscolo retto addominale, operato dall’interno, dall’utero in continuo accrescimento. La gestazione è infatti una delle cause principali della separazione dei muscoli retti addominali. Sia la pressione interna del feto che l'effetto di specifici ormoni, favoriscono l’assottigliamento dei tessuti connettivi e l'allentamento delle fasce muscolari che avvolgono i muscoli retti. Se la diastasi addominale si presenta in una gravidanza, maggiori saranno le probabilità che si ripresenti anche nelle successive. Maggiore è l'età della gestante maggiore sarà la probabilità di avere una diastasi anche se l'aspetto genetico (un tessuto collagene meno elastico) sembra essere predominante. Tra le altre cause troviamo l'obesità, la tosse cronica e l'età avanzata.
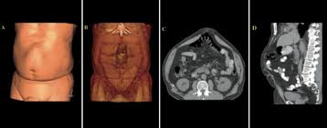
La diastasi si manifesta come una depressione a livello della linea mediana dell'addome che diventa una tumefazione all'aumentare della pressione addominale (facendo addominali, con il ponzamento). Solitamente può associarsi anche un'ernia ombelicale.
La diastasi non è solamente una patologia estetica ma l'allontanamento dei due muscoli retti è spesso legato ad alterazioni della funzione di sostegno della parete addominale e della funzione respiratoria e intestinale.
I sintomi più comunemente associati alla diastasi sono:
- Dolori alla schiena o alterazioni posturali (iper lordosi, cifosi)
- Dolori a bacino ed anche
- Gonfiore addominale e difficoltà digestive
- Stipsi
- Difficoltà respiratorie o aumento della frequenza respiratoria
Frequentemente alla diastasi si accompagnano anche alterazioni a livello del pavimento pelvico (hanno la patogenesi comune) che si possono manifestare come pesantezza o dolori pelvici, incontinenza, stipsi, disfunzioni sessuali, etc..
La diastasi può essere localizzata nel tratto sopra o sotto l'ombelico o coinvolgere tutto l'addome. Spesso alla diastasi si associa anche un addome pendulo e la presenza di smagliature. In questi casi alla riparazione della diastasi può associarsi la plastica dell'addome (Addominoplastica).
" La progettazione di un intervento su misura che valuti le caratteristiche e le esigenze di ogni singolo paziente è la chiave di successo per ottenere un risultato eccellente "
" Ogni paziente è diverso perché la diastasi può presentare caratteristiche differenti e associarsi a differenti altre alterazioni come addome pendulo, smagliature, alterazioni del pavimento pelvico, ernia iatale e ombelicale "
Diagnosi della Diastasi dei Muscoli Retti
Terapia della Diastasi dei Muscoli Retti
" La terapia della diastasi è chirurgica ma nei casi non operabili o in preparazione di un intervento può essere utile l'intervento di un fisioterapista "
Riparazione
Chirurgica
Mininvasiva
Riparazione
Chirurgica
Tradizionale Open
Riparazione
associata ad
Addominoplastica
Fisioterapia
Riparazione Chirurgica Mininvasiva
Scopri di piùRiparazione Chirurgica Tradizionale Open
Scopri di piùRiparazione associata ad Addominoplastica
Scopri di piùPer una valutazione del tuo caso, per una seconda opinione o per conoscere quale tipologia di intervento è più indicata nel tuo caso non esitare a contattarci al 3917571510
oppure scrivici a info@francescosaveriomari.info
L'obiettivo del Centro è quello di poter offrire ad ogni singolo paziente un trattamento personalizzato e moderno per il trattamento della sua patologia erniaria. Per fare questo mi avvalgo anche della collaborazione di altri specialisti come Chirurghi Plastici, Neurochirurghi, Osteopati e Terapisti del Dolore. L'utilizzo di tecniche mininvasive permette di ridurre notevolmente l'invasività della procedura chirurgica con scarso dolore o disagio postoperatorio e rapido ritorno alla normale vita quotidiana. Con l'utilizzo delle moderne tecniche anestesiologiche, oggi è possibile dimettere un paziente operato di ernia inguinale dopo solo un paio d'ore dall'intervento con un eccellente controllo del dolore postoperatorio.
L'impiego di materiali protesici biomimetici ci consente di ottenere una duratura riparazione del difetto erniario con ridotti disagi, come la sensazione di corpo estraneo o il dolore cronico.
























